
Committing to a sustainable future: St John of God Healthcare
October 30, 2024
Private hospital financial review confirms serious viability issues
November 1, 2024A Mater surgeon has saved the life of a Brisbane retiree after successfully removing a rare tumour from his liver weighing almost 2kg.
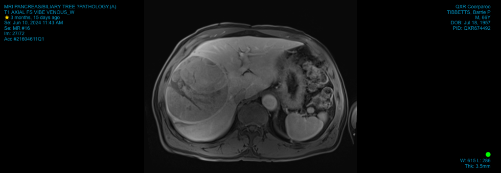
The 15cm hepatocellular carcinoma (HCC) tumour is the largest Mater Private Hospital Brisbane liver surgeon Dr Joel Lewin has removed from a patient at the hospital.
Dr Lewin said HCC affects around five in every 100,000 people, but rates of the disease have increased in recent years.
He said patient Barrie Tibbetts would have died from the aggressive-growing tumour without urgent surgery.
“It is hard to know how long that would take but it was likely growing quite quickly, likely months,” he said.
“Surgery was required as quickly as possible.”
Mr Tibbetts, 67, was unaware the mass had been growing in his liver until he saw his doctor for a routine check-up.
The liver cancer was detected by Brisbane GP Kerrie Hulett who had noticed Mr Tibbetts’ liver function test results were “slightly abnormal”.
“Barrie had no symptoms whatsoever,” Dr Lewin said.
“Given he’d had a liver condition many years ago, Dr Hulett was very thorough and arranged an ultrasound which showed the mass.
“Dr Hulett called me the same day and we arranged an appointment immediately and got things moving.”
The “delicate” operation on Mr Tibbetts took almost six hours at Mater Private Hospital Brisbane in July.
As part of the surgery, a large incision was made in Mr Tibbetts’ abdomen due to the size and complexity of the procedure, as well as the risk of a major bleeding.
“The tumour occupied the majority of the right side of the liver, making surgical resection challenging,” Dr Lewin said.
He said though often such liver resections can be performed keyhole (laparoscopic or robotic), Mr Tibbetts’ case required an open approach due to the size of the tumour.
Mr Tibbetts, a Birkdale father-of-three, said he was “shocked” when his doctor revealed he had an aggressive cancer growing in his liver.
“I was non symptomatic, I couldn’t believe it,” Mr Tibbetts said.
“I had more scans just before having surgery and the mass had become so large it was creeping up into my diaphragm.”
Mr Tibbetts praised Dr Lewin and the multidisciplinary team at Mater for the care they provided.
“Dr Lewin was positive from the get-go,” he said.
“I’ve just had my three-monthly imaging done since having surgery and the outlook is looking very good.”
Mr Tibbetts is now looking forward to travelling around Australia with his wife Leslie in a newly purchased camper van.
“After getting the good news just a few weeks ago, we thought this would be a nice way to celebrate,” he said.
(Source: Mater)







